Tag der Autonomie 2014

News 2015

  • Medientermine in der Woche vom 24. Juni bis 01. Juli 2013

    LPA - Die wichtigsten Termine von Landesregierung und Landesverwaltung der kommenden Woche, zu denen die Medien eingeladen sind, gibt es hier im Überblick. Für nähere Informationen zu den einzelnen Veranstaltungen genügt ein Klick auf den jeweiligen Termin.

  • 28. Juni: LH Durnwalder bei Arge-Alp-Regierungschefkonferenz

    LPA - Am kommenden Freitag, 28. Juni, findet in Galtür in Tirol die 44. Regierungschefkonferenz der Arge Alp statt, an der auch LH Luis Durnwalder teilnehmen wird. Zum Abschluss der Tagung wird Tirol den Vorsitz in der Arge Alp an die Autonome Provinz Trient übergeben und eine Pressekonferenz stattfinden.

  • Gold für Cagnotto, Kerschbaumer und Lechner: Glückwünsche von LH Durnwalder

    LPA - Der Bozner Turmspringerin Tania Cagnotto sowie den Mountainbikern Gerhard Kerschbaumer und Eva Lechner gratuliert Landeshauptmann Luis Durnwalder zu ihren Goldmedaillen. Cagnotto hat heute, 21. Juni, bei den Europameisterschaften in Rostock eine Goldmedaille errungen. Lechner und Kerschbaumer heimsten bei der Mountainbike- und Trial-Europameisterschaft im schweizerischen Bern gestern, 20. Juni, Goldmedaillen ein.

  • Auslandsmobilität: Neue ESF-Ausschreibung wird am 27. Juni vorgestellt

    LPA - Die Landesabteilung Europa wird am Donnerstag, 27. Juni, in Bozen die neue ESF-Ausschreibung für die Einreichung von Pilotprojekten für die Auslandsmobilität vorstellen, die kürzlich auf der Webseite der Abteilung publiziert wurde.

  • Paul-Flora-Preisverleihung am 29. Juni in Glurns

    LPA - Der vom Bundesland Tirol und dem Land Südtirol gemeinsam gestiftete Paul-Flora-Preis geht in diesem Jahr an die aus Tirol stammenden und in Wien lebenden Kunstschaffenden Johanna Tinzl und Stefan Flunger. Die Preisverleihung findet am Samstag, dem 29. Juni, im Rathaus von Glurns statt. Die Kulturlandesrätinnen Sabina Kasslatter Mur und Beate Palfrader werden den Preis überreichen.

  • 28. Juni: Die Kräuter kommen

    LPA - Rund 120 verschiedene Heil- und Gewürzpflanzen wachsen in Südtirol; sie werden in Kräuterackern geerntet oder kommen in der freien Wildbahn vor. Am kommenden Freitag, 28. Juni werden am Oberhasler-Hof in Schenna Zahlen und Fakten zum Kräuteranbau in Südtirol vorgestellt und über das Kräuterfestival im Herbst informiert.

  • Landeszivilschutz: Erdbeben auch in Südtirol zu spüren

    Um 12.33 Uhr ist Norditalien heute (21. Juni) von einem Erdbeben mit Epizentrum in der nördlichen Toskana erschüttert worden. Wie der Landeszivilschutz mitteilt, sei das Beben auch in den oberen Stockwerken höherer Gebäude in Südtirol zu verspüren gewesen.

  • Marling: Dringende Arbeiten - Bahn Meran-Töll drei Tage außer Betrieb

    LPA - Aufgrund von dringenden Wartungsarbeiten am Gleisabschnitt beim Bahnübergang in Marling wird der Zugverkehr der Vinschgerbahn im Abschnitt Meran – Töll für drei Tage unterbrochen, und zwar von Dienstag, 25. Juni, bis einschließlich Donnerstag, 27. Juni. Ein Busersatzdienst für diese Teilstrecke wird eingesetzt.

  • Wohnbau: LR Tommasini setzt auf Bausparen und Sanieren

    Das Bausparen, die Wiedergewinnung von Bausubstanz in den Dörfern und Städten sowie das Vorstrecken der steuerlichen Absetzbeträge bei der energetischen Sanierung sind die Strategien der Wohnbaupolitik von Landesrat Christian Tommasini und sollen noch vor Legislaturende gesetzlich verankert werden.

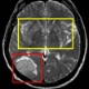
  • Innovative Therapien bei Schlaganfall: Interregionale Tagung in Bozen

    Interregionale Tagung zu Schlaganfällen in Bozen

    LPA - Experten aus Tirol, Trient und Südtirol befassen sich am 28. Juni in Bozen bei der Tagung „Iktus“ mit neuesten Erkenntnissen zur Vorbeugung, Diagnose und Therapie bei Schlaganfall. Die Tagung wird vom Landesamt für Krankenhäuser in der Landesabteilung Gesundheitswesen organisiert und vom EVTZ „Europaregion Tirol-Südtirol-Trentino“ unterstützt.


Seitenanfang

Fotos

Weitere Fotos


Seitenanfang